|
Tai dažni klausimai,
kuriuos užduoda vyresnio amžiaus pacientai ir sergančiųjų AL
giminaičiai.
Demencija tai
palaipsnis žmogaus pažintinių funkcijų, kurios iki ligos
pradžios buvo normalios, silpnėjimas pakankamai ryškus, kad
sutrikdytų kasdieninę veiklą.
Alzheimerio liga (AL)
dažniausia demencijų priežastis.
Demencijų paplitimas

pagal R. Katzman ir
C. Kawas, 1994 m.
1907
metais vokiečių patologas Alois Alzheimer aprašė 51 metų
moters klinikinį atvejį, kuriame progresuojantį pažinimo funkcijų
sutrikimą susiejo su specifiniais patomorfologiniais
radiniais galvos smegenyse neuritinėmis (senilinėmis)
plokštelėmis ir neurofibriliniais tinkleliais, kurie šiuo
metu laikomi AL patomorfologiniais požymiais.
Vidutinis ligonių, kuriems diagnozuota Alzheimerio liga,
išgyvenamumas 8 metai (Jost ir Grossberg, 1995). Amžius, kurio
ligonis susirgo, ligos trukmės nepakeičia, tačiau jaunesniems
asmenims kognityvinis deficitas progresuoja greičiau (Koss
ir kt., 1996). Kadangi kiekvienas vyresnio amžiaus žmogus ar
ligonis gyvena šeimose, visuomenėje, todėl atpažinti
Alzheimerio ligą ir laiku pradėti ją gydyti turėtų rūpėti
kiekvienam.
Sergamumas AL priklauso nuo amžiaus: 6064 metų amžiaus serga
mažiau nei 1 proc. žmonių; 7074 metų amžiaus 47 proc.; o 8084
metų 1524 proc., t. y. beveik ketvirtadalis žmonių; daugiau
nei 85 metų daugiau nei trečdalis (3047 proc.). Naujai
susergančių AL skaičius taipogi tiesiogiai priklauso nuo
amžiaus: 6569 metų amžiaus suserga 0,6 proc.; 7074 metų 1
proc.; 7579 metų 2 proc.; 8084 metų 3,3 proc.; o vyresni nei
80 metų 8,4 proc..
AL rizikos veiksniai yra genetiniai ir negenetiniai.
Nustatytas autosominės dominantinės šeiminės Alzheimerio
ligos ryšys su chromosomomis 21, 14, 1 (5 proc.). Įrodyta, kad
19 chromosomos gene esantis apolipoproteino E (Apo E)
alelis ?4 susijęs su didesne rizika susirgti vėlyvos
pradžios šeimine ir sporadine Alzheimerio liga, tačiau
nurodoma, kad Apo E alelis ?4 yra rizikos veiksnys, bet
savaime ligos nesukelia. Negenetinių rizikos veiksnių yra
daug: tai vyresnis paciento amžius, menkas išsilavinimas, žema
socialinė-ekonominė padėtis, moteriška lytis (dėl
pomenopauzinio estrogenų kiekio sumažėjimo), aplinkos
užterštumo faktoriai (Al), galvos smegenų traumos, sistolinė
hipertenzija, Downo sindromas šeimos anamnezėje. Tačiau yra
nurodomi ir apsauginiai faktoriai, trukdantys išsivystyti
AL tai apolipoproteino E ?2 alelio turėjimas, aukštasis
išsilavinimas, ilgalaikis vaistų nuo uždegimo vartojimas ar
ilgalaikis estrogenų vartojimas moterims.
|
 |
| |
 |
|
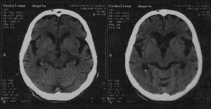
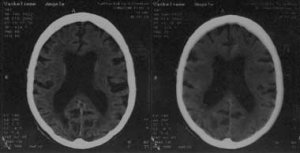
Galvos
smegenų KT- smilkininių ir kaktinių skilčių atrofija (išorinė
ir vidinė hidrocefalija).
AL taip pat būdingi ir smegenų audinio pakitimai:
neuronų ir sinapsių netekimas, neuritinės plokštelės
(hipokampe ir naujojoje smegenų žievėje),
neurofibriliniai tinkleliai, kuriuos 1907
metais ir aprašė A. Alzheimeris.
Šiuos plika akimi nematomus pokyčius galima
nustatyti elektroninės mikroskopijos būdu.
Neuritinės (senilinės) plokštelės matomos kaip
ekstraląsteliniai dariniai, sudaryti iš neuronų ir
glijos ataugų ir amiloidinio baltymo, kurio
pagrindinis komponentas yra A4 peptidas (beta
amiloidas).
 |
 |
|
Neuritinės (senilinės)
plokštelės. |
|
Kiti aiškiai
mikroskopiniu būdu nustatomi pokyčiai galvos smegenyse
tai neurofibriliniai tinkleliai, pakitę intraląsteliniai
filamentai, turintys porinės spiralės struktūrą. Šių tinklelių
proteininis komponentas Tau proteinas (su mikrotubulėmis
susijęs proteinas, ubikvitinas).
Labai sudėtingi
patologiniai procesai vyksta ir neuromediatorių lygyje.
Kadangi vystosi neuronų degeneracija priekiniuose
pamatiniuose smegenų branduoliuose, kur sintezuojama
daugiausia smegenų žievės acetilcholino, vystosi
cholinerginis deficitas, sulėtėja acetilcholino
metabolizmas smegenų žievėje bei sumažėja nikotininių
acetilcholino receptorių. Taip pat pažeidžiamos ir kitos
neurotransmiterių sistemos (norepinefrino, serotonino),
todėl ligai vystantis išryškėja ir nekognityvinai
simptomai.
Kokia Alzheimerio ligos klinika?
Šio tipo demencijai būdingi pažinimo (kognityviniai)
sutrikimai, nuotaikos (afektiniai) sutrikimai, elgsenos
sutrikimai; gali prisidėti kliedesiai; judėjimo sutrikimai
(ekstrapiramidinė simptomatika), traukuliai, mioklonijos.
Kognityviniai sutrikimai pasireiškia blogėjančia atmintimi,
kalbos sutrikimais, suvokimo (vaizdinio ir erdvinio) ir
praksio (įgūdžių) sutrikimu.
Labiausiai nukenčia trumpalaikė atmintis sutrinka naujos
informacijos įsisavinimas, tuo tarpu senos ir gerai
įsisavintos informacijos atgaminimas pradinėse ligos
stadijose išlieka. Progresuoja dezorientacija laike ir
erdvėje. Vėlyvose stadijose sutrinka ir senos
informacijos atgaminimas. |
|
Kalbos sutrikimas pasireiškia tuo, kad
ligoniui sunkiau rasti tinkamus žodžius, padaugėja
stereotipinių frazių, kalba tampa skurdi, nevaizdinga,
ligonis neįvardija daiktų pavadinimų, vėliau sutrinka kalbinės
informacijos supratimas, nors pakartojimo funkcija
gali išlikti ilgai. Nyksta bendravimo įgūdžiai. Vizualinio
ir erdvinio suvokimo ir įgūdžių sutrikimai pasireiškia tuo,
kad ligonis neatpažįsta daiktų (agnozija), pažįstamų ar savo
veidų (prozopagnozija), blogėja vizualinis dėmesys,
darosi sunku perdirbti vizualinę informaciją, išskirti figūrą
iš fono, judesio ar kontrasto. Būtent dėl to labai
pastebimai pablogėja ligonio kasdieninė veikla. Ligonis
nebegali atlikti valingų judesių, veiksmų (apraksija).
Progresuojant demencijai, sutrinka ligonio elgesys. Jis
gali tapti sujaudintas ar apatiškas, stokoja iniciatyvos,
atsiranda negatyvizmas, pakinta asmenybė. Dažnai
pasireiškia depresija (523 proc.), nerimas (3545 proc., ypač
pradinėse stadijose), kliedesiai ir haliucinacijos (50
proc. kliedesiniai sutrikimai, kaltinimai vagyste,
neištikimybe, persekiojimas, apie 25 proc. haliucinacijos,
dažniau regimosios nei klausos). Vėlyvose stadijose gali
prisidėti ir judėjimo sutrikimų (20 proc.), traukulių (10 proc.),
mioklonijų (510 proc.). |